Для визуализации кровотока в ультразвуковых системах имеется много различных режимов. Базовым режимом является цветовое допплеровское картирование (синонимы: ЦДК, цветной допплер, Color Doppler, Color Flow Mapping, CFM). Однако данный режим часто не позволяет отображать кровоток в капиллярной сетке сосудов, снабжающие кровью различные новообразования и опухоли.
Для решения этой проблемы можно использовать специальные контрастирующие вещества, вводимые в кровь. Это направление в ультразвуке называется CEUS (Contrast Enhanced Ultra-Sound) - ультразвук, расширенный контрастом. Ультразвук-контрастирующие вещества бывают низкого (Low MI) и высокого (High MI) механического индекса. Чаще всего используют вещества с низким индексом, например SonoVue от Bracco, которое зарегистрировано в РФ в реестре лекарственных средств (номер РУ № ЛП-002172 на момент составления данной страницы).
К УЗ-контрасту с низким механическим индексом относятся SonoVue, Sonazoid, Optison, Definity. К УЗ-контрасту с высоким механическим индексом относится контраст первого поколения Levovist. Не все они зарегистрированы и доступны в РФ.
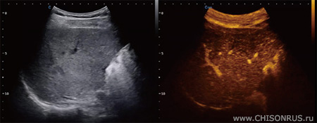
Чаще контраст используется в онкологии для идентификации границ новообразования. При этом обычный В-режим или ЦДК не позволяет получить эти данные. Пример ниже: слева изображение в В-режиме, справа - в режиме конрастирования. Для использования визуализации контраста в аппарате должна быть установлена опция Sono Contrast, а используемый датчик также должен поддерживать этот режим.
Примеры:

